At Cook Street Village Dental, we offer a variety of cosmetic and restorative dentistry services. Check out our Smile Gallery below to see examples of the quality work performed by Dr. Thode, then give us a call to schedule a consultation today!
Smile Makeovers
A Life-Changing Smile Transformation


When this patient mentioned that they hadn’t smiled in close to twelve years, we knew that the final results would be life changing. The decay was removed, the chipped teeth restored, and the patient is now smiling ear to ear. Through a combination of dental crowns and veneers, we were able to make some monumental changes, and we’re just as happy as the patient is with this outcome.
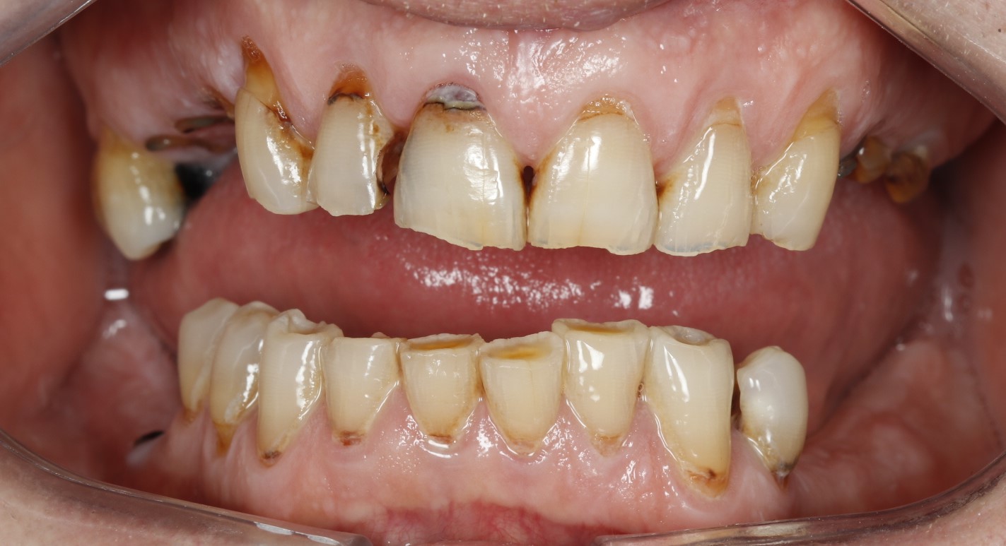
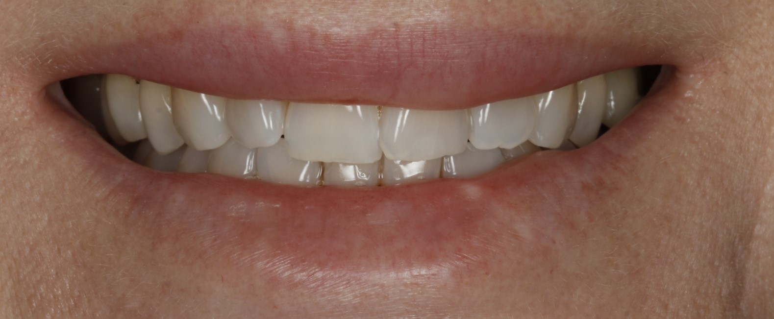
From Anxiety to Confidence: A Smile Transformed


Don’t let anxiety of dental work hold you back from the smile you’ve always wanted. This lovely patient had avoided coming to the dentist for years, and was not happy to smile in photos. The after results speak volumes- they are now beaming with confidence, not nervous to come get treatment, and an absolute joy to see. One of our most rewarding cases, both from the spectacular clinical outcome and how far the patient came in overcoming their anxiety.
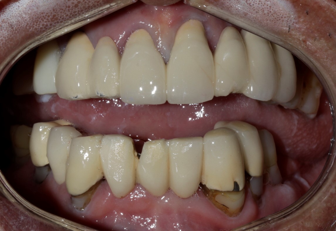
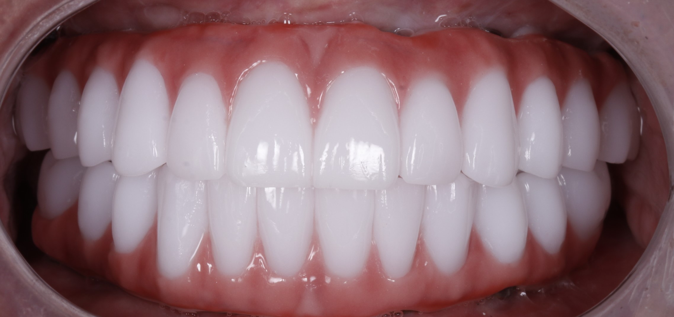
Complete Restoration for a Radiant Smile


This patient’s smile makeover consisted of ceramic restorations to improve the smile and dental implants to replace the missing teeth. The results speak for themselves; the teeth are brighter, the smile aligned how they wanted, the missing teeth restored and a happy patient.
A Brighter Smile, Naturally Enhanced with Veneers


Veneers are a minimally invasive way to enhance a smile. By adding ceramic to the natural tooth, we can create a
natural smile, with exactly the dimensions you want. This patient wanted a brighter smile, but wanted to keep some of the characteristics of the previous smile. You can see from the before/after how much more confident they were to smile naturally with this smile makeover.
Subtle Enhancements for a Stunning Smile


Sometimes less is more with smile design. This patient was chipping teeth at the front, and was interested in some tweaks of their smile. With four veneers and two composite resin bondings, we were able to refresh the smile, change some tooth shape, and improve their smile. The subtle changes separate the good from the great, and the final result matched this patient’s glowing personality.
Ready to Transform Your Smile? Let’s Get Started Today!
Ceramic Restorations
Natural Beauty and Ultimate Control with Ceramic Restorations


If you want the ultimate control over your smile- colour, shape, proportion, alignment and aesthetics, ceramic
restorations are the best way to get the smile you want. This patient wanted an enhanced smile, all while keeping the appearance as natural as possible. These beautiful, long lasting restorations were placed, reinforcing the teeth,
removing decay and giving this patient the smile they had always wanted.
Unlocking the Potential of a Perfect Smile with Ceramic Restorations


Patient often struggle their entire life not knowing the potential smile they could have. With ceramic restorations, the colour, alignment, shape and overall smile was changed to give this patient a beaming smile they were proud of.
Long-Lasting Beauty and Function for Your Teeth
Dental Bridge
Bridging the Gap for a Confident, Natural Smile




Missing teeth can detract from your smile, and make it challenging to chew. This patient wanted to
replace their old removable denture, and have something fixed in place. A bridge was designed to match
the remaining natural teeth, close the gap and let the patient smile with confidence.
Restore Your Smile and Improve Self-Confidence
Tooth-Coloured Fillings
Upgrade to Tooth-Coloured Fillings for Stronger, Safer Smiles


Old silver fillings have a tendency to crack teeth, and modern, tooth coloured fillings are a great alternative. Here, the broken silver fillings was removed, a bonded white fillings placed, and the tooth sealed off before the decay got into the nerve.
Replace Old Fillings for Better Protection and Health


These old fillings were replaced with new, tooth coloured fillings. The old ones were leaking, no longer protecting the inside of the teeth from bacteria, and the one at the back (far right) had fractured. The old fillings were replaced, new ones placed in, and the patient was able to protect their teeth from cavities.
Natural, Aesthetically Pleasing Appearance
Dental Veneers
Transform Your Smile with a Simple Veneer Upgrade


It’s the little things that sometimes make the biggest difference. This patient had chipped a tooth as a child, and didn’t like the shape of the restoration. In a single visit the old filling was removed, a composite veneer placed, and changing one tooth rejuvenated the entire smile.
Replace Old Fillings for Better Protection and Health


This patient had chipped and worn lower teeth, with crack lines growing. The teeth were veneered, to restore shape, aesthetics and function. Dental veneers can be used not only to change the shape, colour, size and alignment of teeth, but also restore tooth structure that has been lost. A natural looking result which restored chewing ability, and limited further damage.
Replace Old Fillings for Better Protection and Health


Dental veneers allow you the ultimate control over a smile makeover. The size, shape, colour, alignment
and overall look of the smile can be modified to your desired smile. This patient had stained, old fillings, misaligned teeth and didn’t love their smile. We were able to refresh the smile, letting their smile beam with confidence which matched their personality.
Enhance Your Smile with Custom Dental Veneers




Two dental veneers brought this smile to life. Working with a very talented orthodontist, who was able to position the teeth for a lovely smile, the patient was born with two very small teeth. By adding dental veneers to just two teeth, with virtually no removal of tooth structure, we were able to take this smile to the next level.
Achieve Your Dream Smile with Dental Veneers
Single Tooth Implant
Restore Your Smile with a Single Tooth Implant




When this patient’s front tooth fractured, the fear was that a flipper was the only way to restore the tooth, which can
move around when chewing and has to come out at night. We were able to place a single tooth implant, restore the smile and close the gap without having to weaken the other teeth. A single tooth implant is the modern way to restore missing teeth, and with all aspects done in house at Cook Street Village Dental, patients don’t need to drive around town to see different clinicians: we can look after you at your dental home.
Restore Your Smile with a Single Tooth Implant
Gum Graft
Protect Your Teeth with a Gum Graft After Braces


A common risk of orthodontic treatment (braces) is gum recession. This patient finished orthodontic treatment, and had an exposed root. When roots are exposed they are more like to get decay or be brushed away, so we decided to do a gum graft. The root was covered up, the other gums thickened, and the risk factors to this tooth reduced.
Protect and Enhance Your Smile with a Gum Graft


This case of gum recession was treated using donor tissue: the patient didn’t have to have a piece of their palate removed! Gum recession can make teeth vulnerable to decay and brushing can damage the roots, however with patients like this, who have broad beautiful smiles, it can also be an aesthetic concern. The patient’s gums were augmented, we covered up the roots delivering a beautiful smile with protected, healthy teeth.
Protect and Enhance Your Smile with a Gum Graft
Implant-Supported Bridge
Restore Your Smile with an Implant-Supported Bridge


Sometimes when an old bridge fails, the remaining tooth structure is too damaged to make a new bridge. Here, the broken teeth were removed, two implants were placed and all three teeth were restored with a new implant supported bridge.
Restore Your Smile with an Implant-Supported Bridge